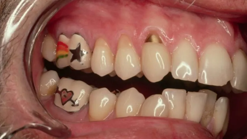
Tatuagem nos dentes: Chineses pagam R$ 1.400 para enfeitar dentes, mas especialistas fazem alerta
Entenda como funciona o procedimento de tatuagem nos dentes, novo procedimento viral, mas que dentistas desencorajam.
Tempo seco favorece o mau hálito; veja como evitar
Como limpar a língua corretamente e evitar o mau hálito
No Dia do Sorriso, veja 6 alimentos que podem prejudicar seus dentes